Preloader

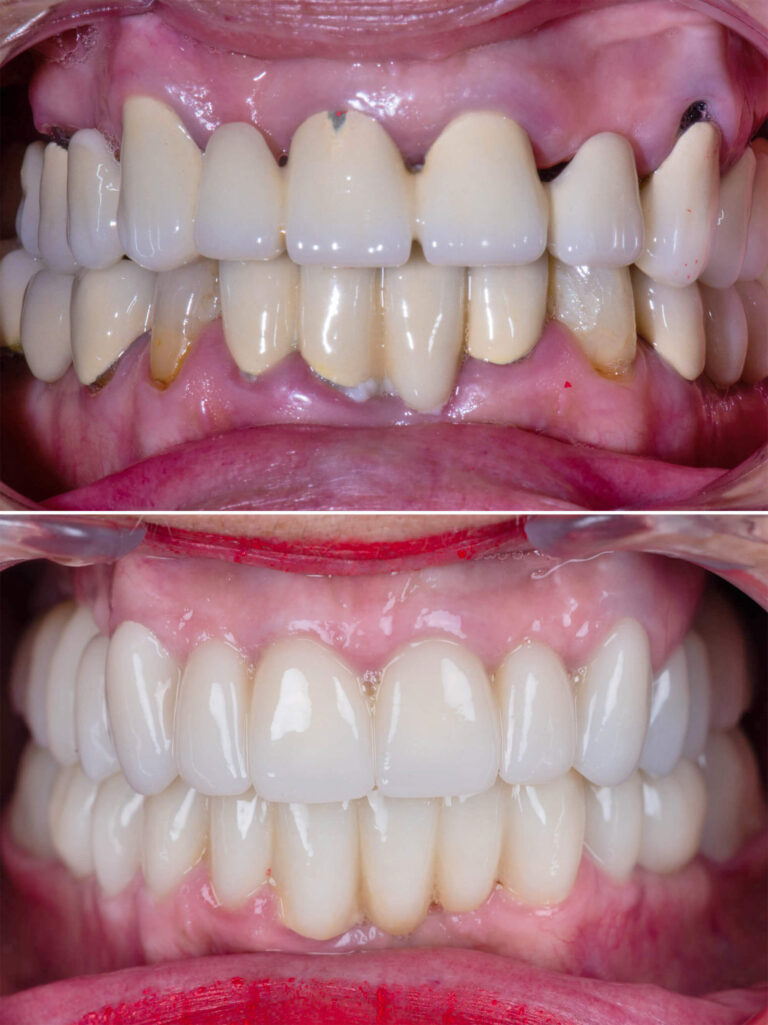
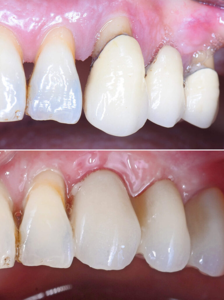
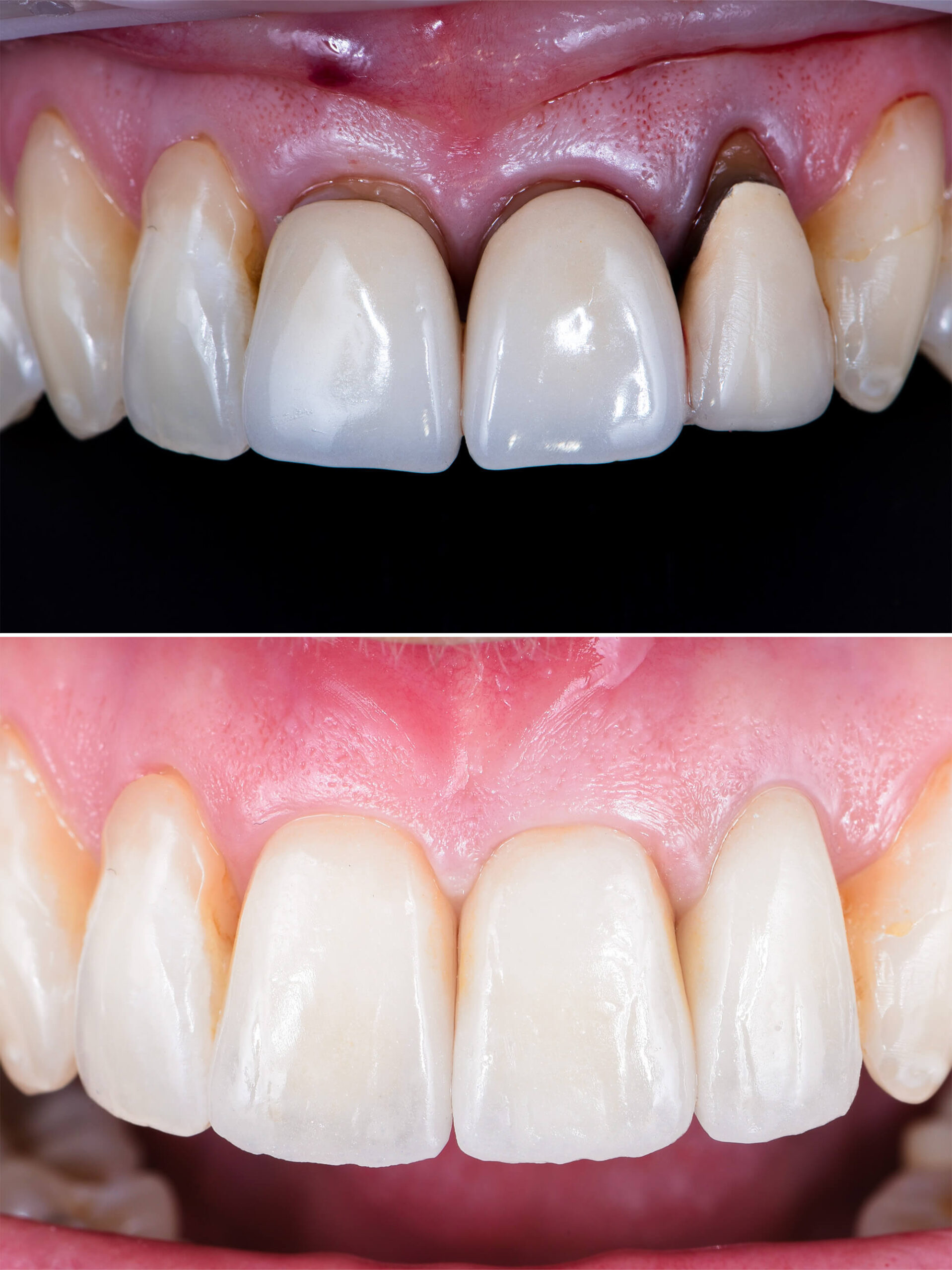
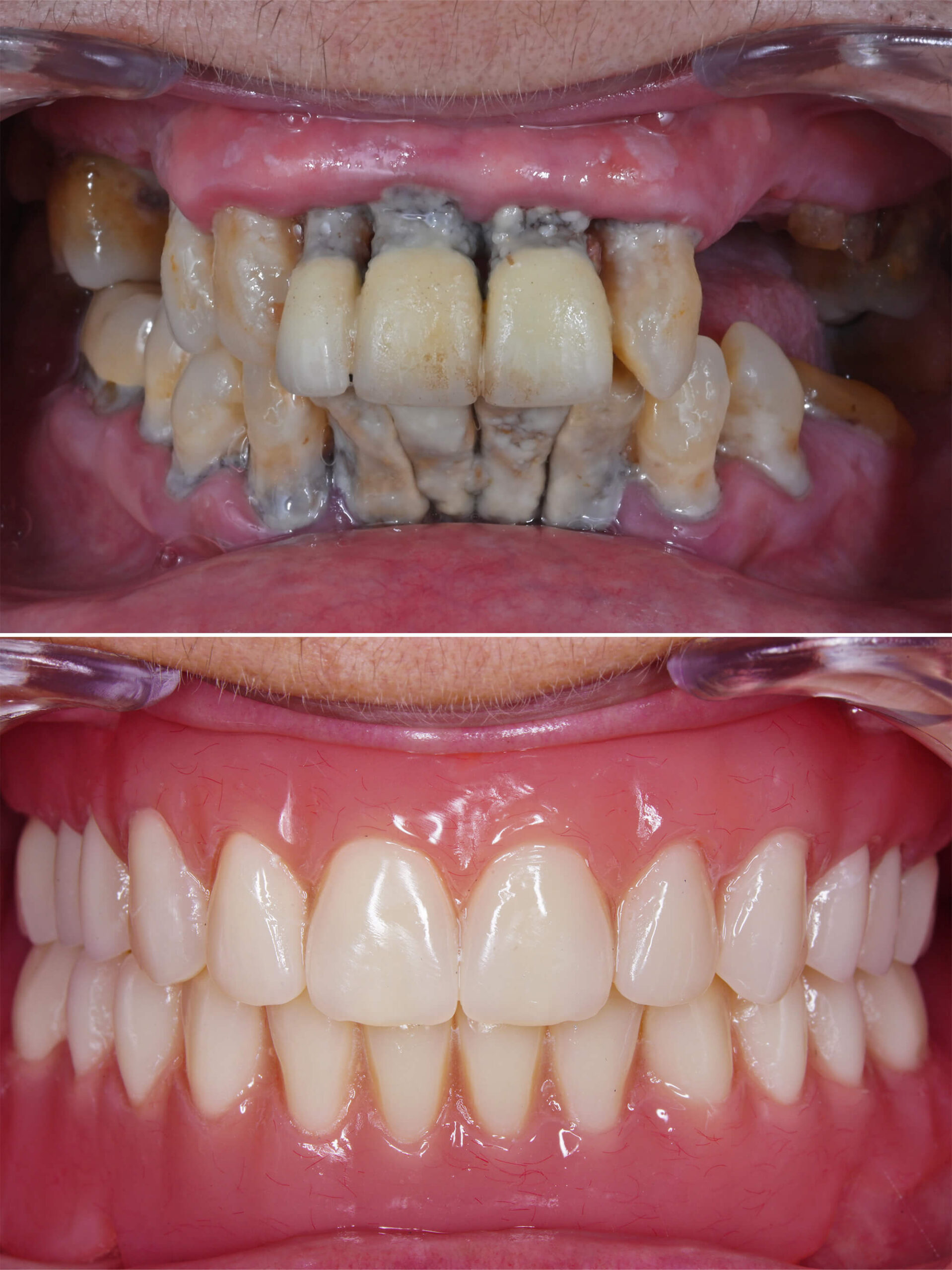
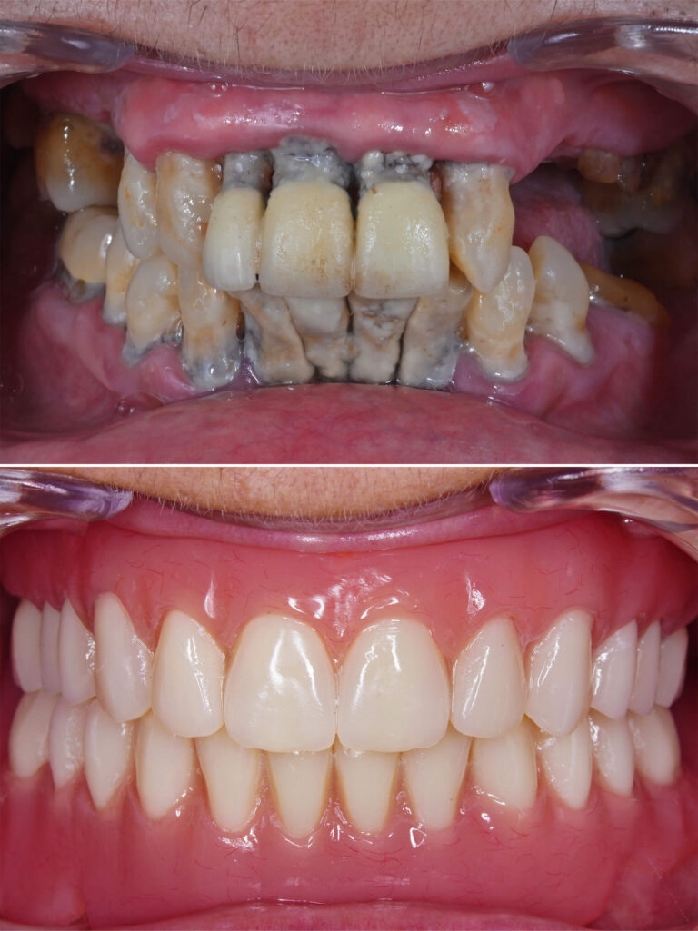
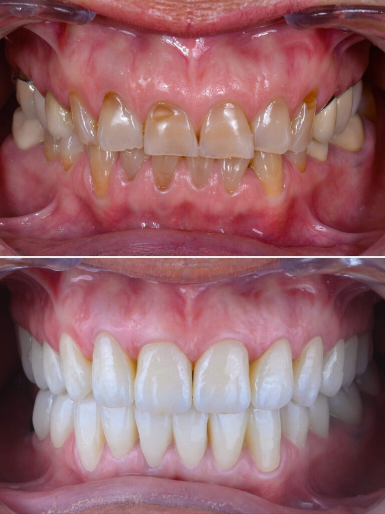
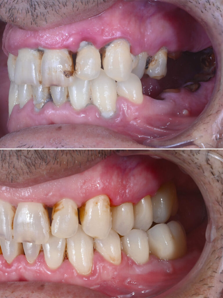
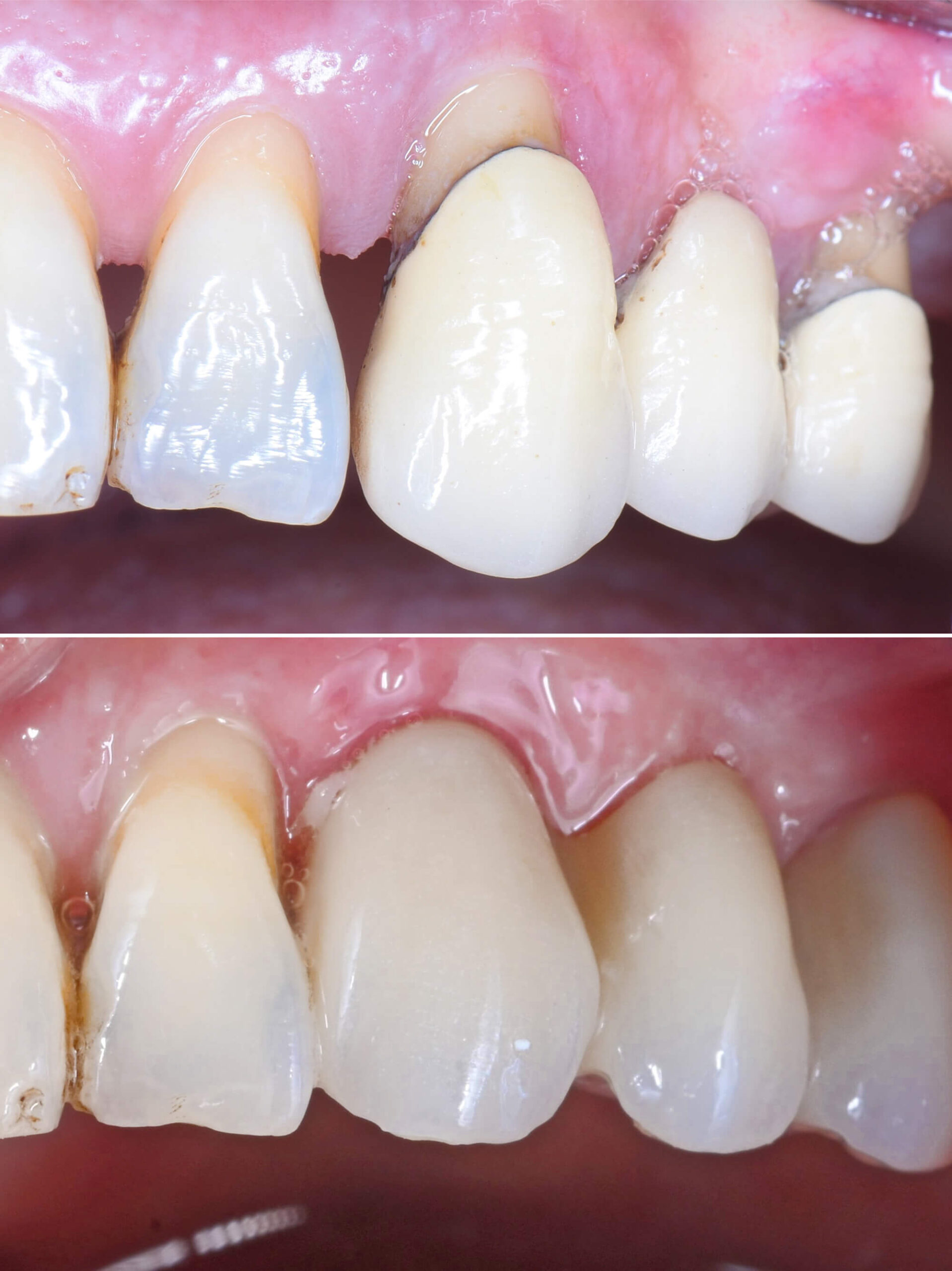
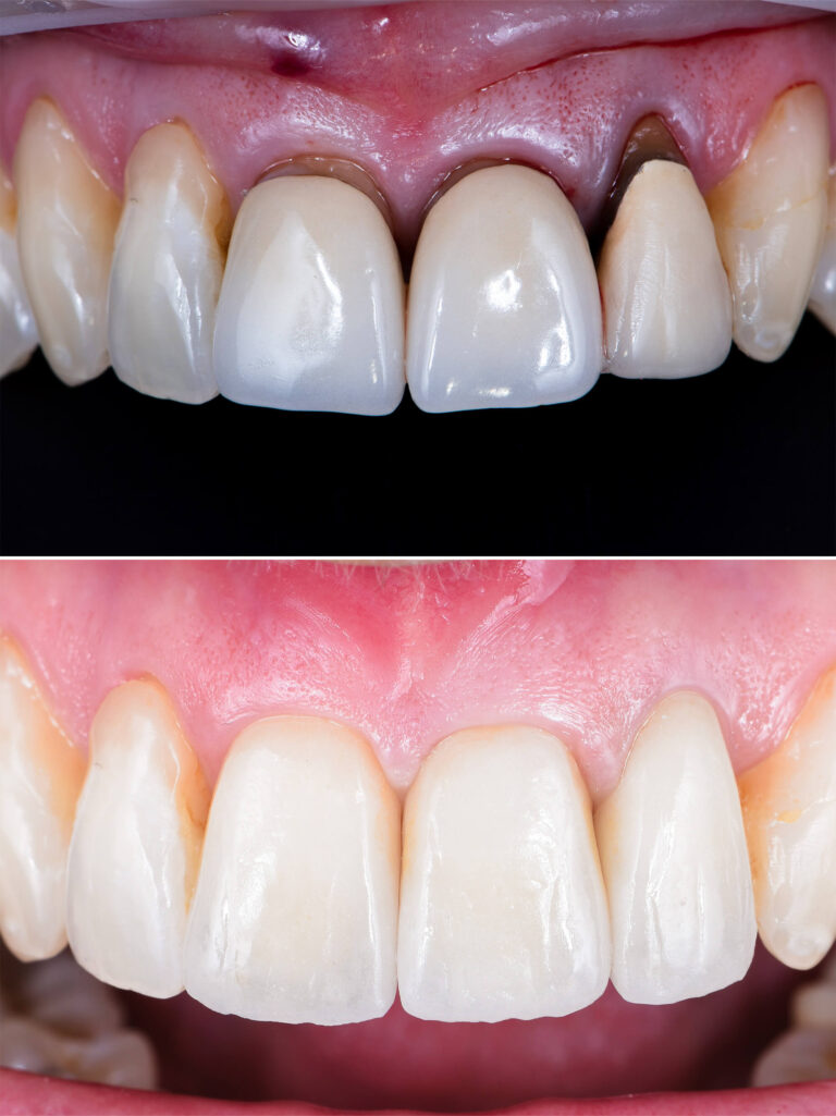
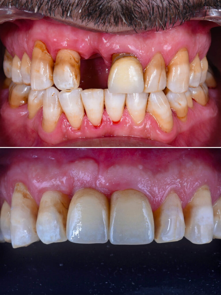
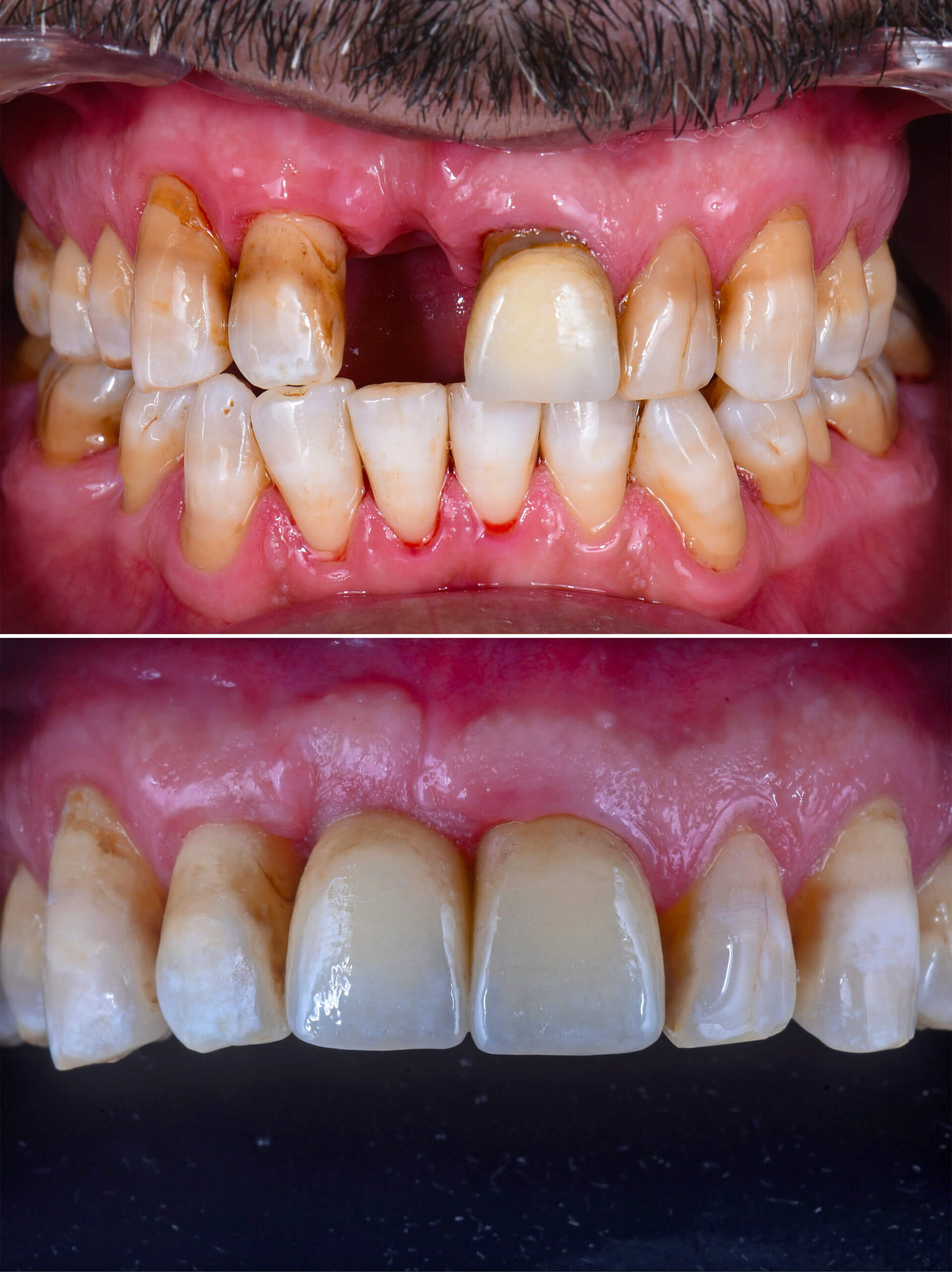
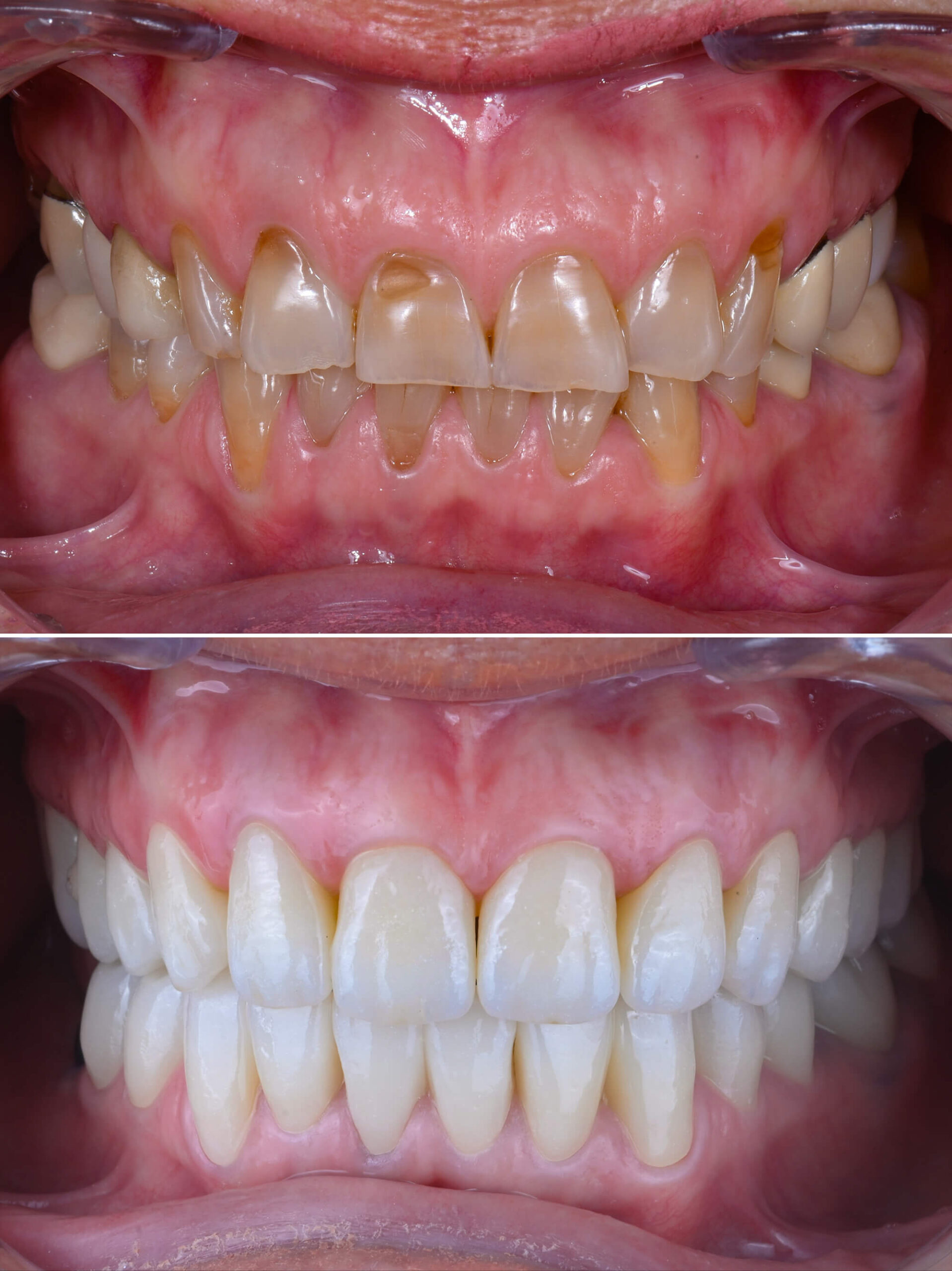
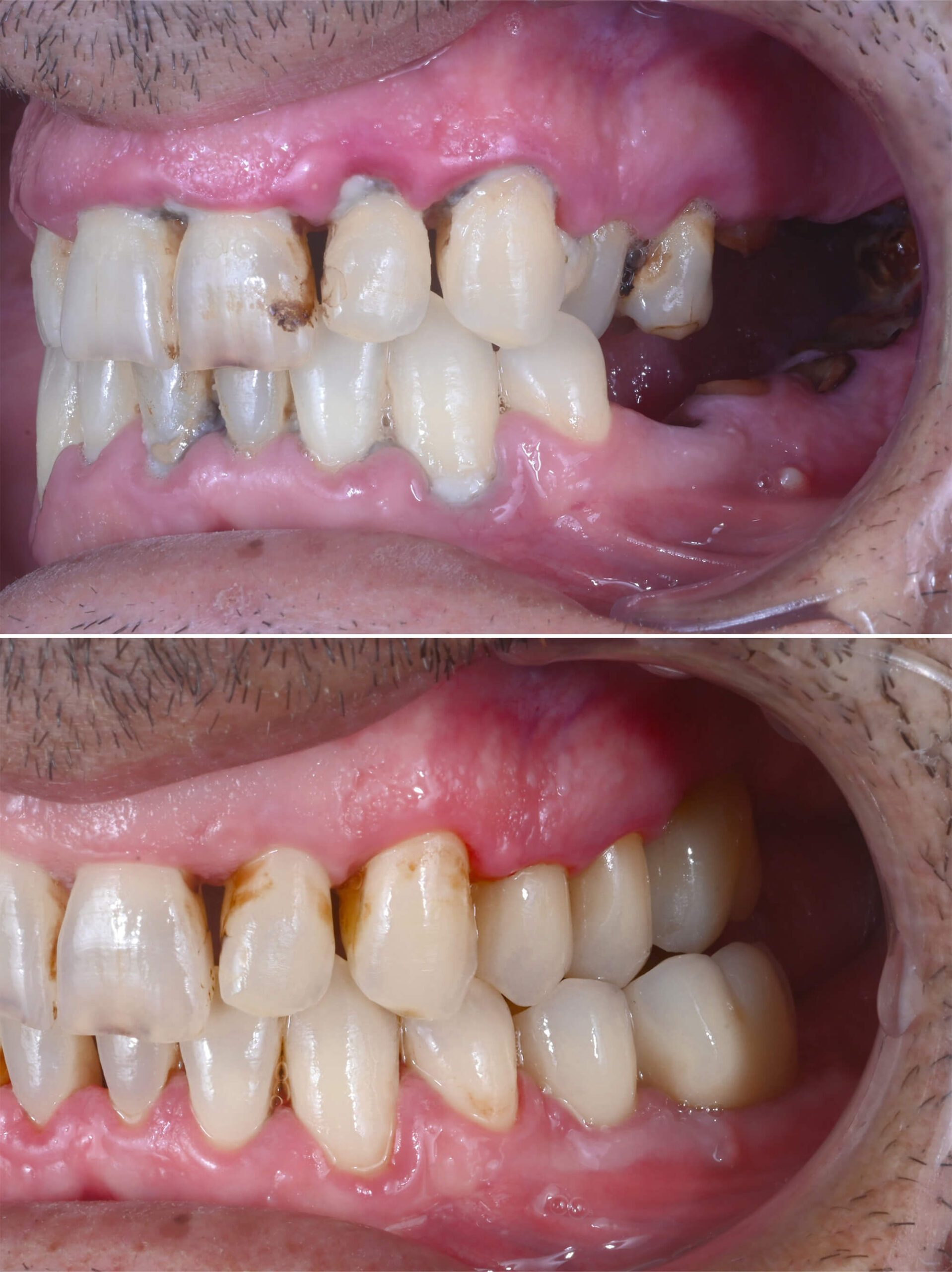
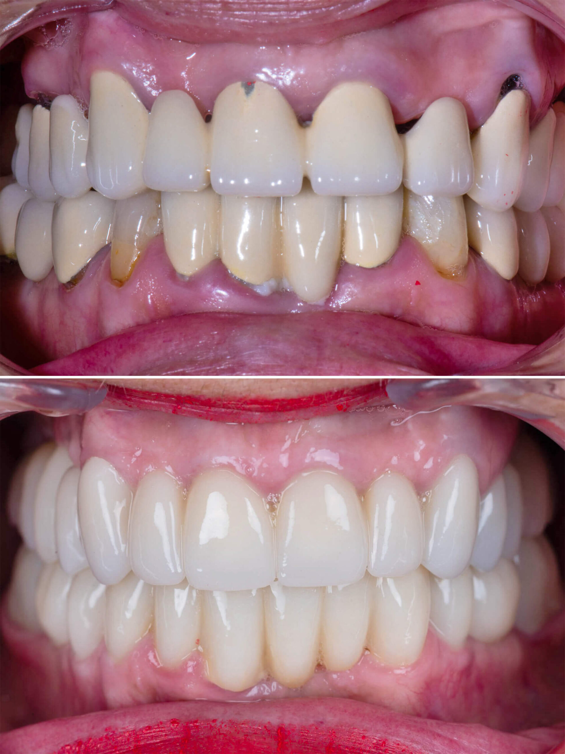
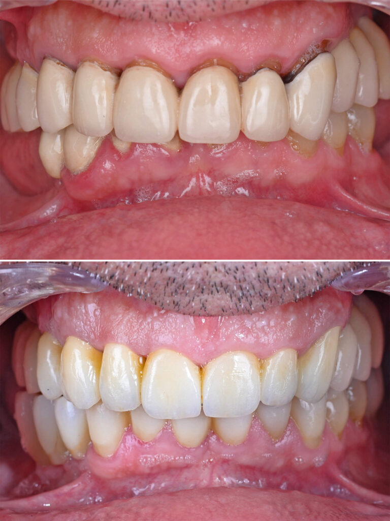
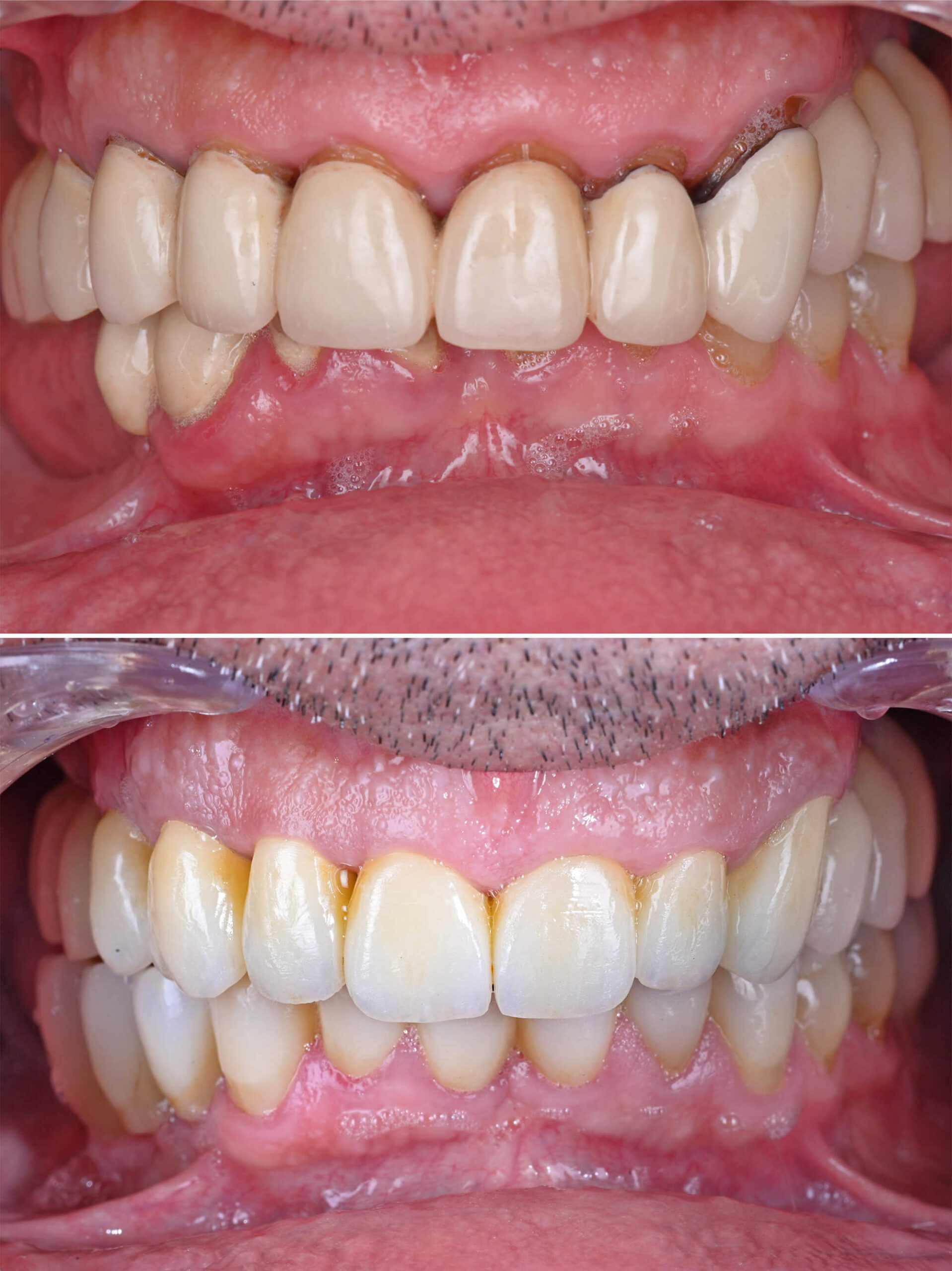
Prima e dopo

Opere che parlano da sole

Un protocollo. Una seduta. Una nuova vita.

Ecco cosa significa trasformare la cura dentale in arte.

Ora immagina la tua trasformazione

Ti ascoltiamo, ti accompagniamo. E ti restituiamo molto più di quello che vedi in queste immagini. In una seduta.